BIND 4.0 Startups offer innovative solutions to tackle the effects of the global coronavirus pandemic
Startups participating in this year’s program along with BIND 4.0 alumni, with the flexibility, innovation and agility that characterizes them, are doing their part to help in the fight against COVID-19 and its global effects.
Many startups have adapted their innovative technological solutions with the aim of, on the one hand, making available to healthcare personnel the technological tools necessary to combat the lack of protective material and, on the other hand, proposing new solutions for the diagnosis and analysis of the virus. Additionally, companies are being offered the latest digital technologies and online training to allow and reinforce remote work, plus applications for the management of factories, and the maintenance of production and the supply chain, which are necessary to maintain the mandatory confinement enacted by the authorities.
Without a doubt, one of the positive effects that this terrible pandemic has caused in our society is the incredible acts of solidarity, response and innovation that have been generated by all kinds of people and companies. We are all united in the fight against the coronavirus and BIND 4.0 wants to do it’s part through technology and innovation, to help alleviate and overcome the consequences.
To find out about each and every one of the initiatives and tools created to combat the coronavirus by the BIND 4.0 Startups, please review the following list:
COVID-19 DETECTION SOLUTIONS
Bleenco (Munich) – Artificial Intelligence
This solution detects measurements directly under the tongue. For its implementation, two cameras are used: one RGB and one infrared. The RGB camera detects facial gestures and the IR camera checks the temperature just below the tongue. The average detection process time is less than 3 seconds. The system works independently of the camera manufacturer, and can be used with pre-existing cameras. For more information contact them directly at www.bleenco.com.
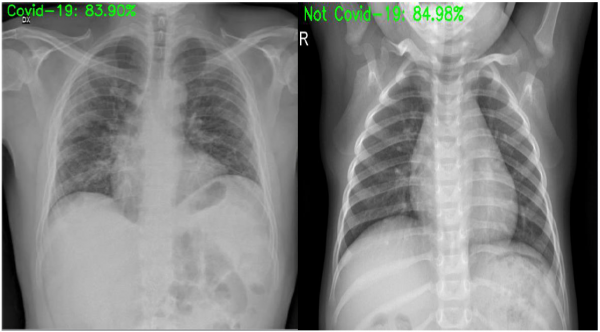
Inovako (Istanbul) – Artificial Vision
Thanks to their technology, they have built an artificial intelligence model that is capable of distinguishing radiographs of positive or negative patients for COVID-19. In addition, they are in the process of developing an artificial intelligence model in order to help radiology activity in a faster and more efficient inspection. For more information, you can visit this link.

COVID-19 SITUATION ANALYSIS
DeciDATA (Bilbao, Bizkaia) – Big Data
The developer of Big Data Analytics solutions has designed the DeciDATA -19 Panel, a data management tool that calculates the degree of saturation experienced in real time, by each hospital (public and private) that make up the Basque network. Tracking and providing data to view the evolution of the ‘CoronaVirus’ Pandemic within the Basque Country.

SUPPLY AND MANUFACTURE OF PROTECTIVE MATERIALS AND CRITICAL PRODUCTS FOR COVID-19
AddiFab (Denmark) – Additive Manufacturing
The Danish 3D-printing pioneer, has teamed up with Danish Emergency Medicine Specialist Michael Mølmer to create a PPE that protects front-line workers from exposure to airborne vira like Corona, Sars and Mers by adapting divers’ masks. The MiMo face mask adapter is a medical-grade rubber sleeve that allows bidirectional bacterial/viral removal filters with gas outlets, conforming to ISO 5356-1 to be mounted on a full-face diver’s mask. They designed and validated a scalable solution by combining expertise in various fields to react to the current needs. Addifab can produce 100-150 units a day, and the design scales seamlessly into conventional injection molding for larger-scale manufacturing. Available in the USA and Europe, visit their site for more info.

Mizar (Miñano, Araba) – Additive Manufacturing
The company is manufacturing, thanks to its 3D printing technology, sanitary masks, visors and valves for respirators. In addition, they are working on the development of the production with 3D technology of a new respirator.

Optimus 3D (Vitoria-Gasteiz, Araba) – Additive Manufacturing
This startup is using both its technology and resources in the manufacturing of protective materials for health centers and nursing homes. Currently, using 3D printing, they produce visors, protection material and adapters for diving masks. They will begin shortly with production of a new series of respirator, in collaboration with HP and the Leitat Technology Center in Barcelona.

REMOTE COMMUNICATION WITH PATIENTS
Taniwa (Madrid) – Big Data
The startup offers its product Mememtum, a chat software solution to help institutions monitor the evolution of groups in various areas: medical, wellness and emotional. Mememtum allows you to define a group, send them questions and tests, and gather information and analysis on medical, physical, and emotional trends. It is also capable of automatically collecting movement data (steps) and geolocation.
TedCas (Noain, Navarre) – Touch-free User Interfaces
TedCas, the healthcare technology provider, revolutionizing access and handling of medical information, together with Telefónica and two hospitals (HURJC and Parc Taulí), designed a state of the art UCI platform to allow patients access to information and entertainment and to communicate with their families using a secure video conferencing tool.
Furthermore, they are making use of their 3D printers to offer protection materials for the healthcare workers of CHN Hospital in Navarra.
SAFETY SYSTEMS IN ESTABLISHMENTS AND INDUSTRY
WiTraC (Valencia) – Internet of Things
This startup, thanks to the installation of people counting sensors and mobile devices, can monitor and know in real time, the degree of occupation of shops and establishments, avoiding crowds and oversaturation and keep security and safety measures during these times. In this way, safety and health protocols can be improved, including alerting in the event of excess capacity. For more information, you can visit this link.
ORGANIZATION, MANAGEMENT AND MAINTENANCE OF FACTORIES
Innovae (Donostia-San Sebastián, Gipuzkoa) – Augmented Reality
Offers an advanced augmented reality (ATR) based remote assistance solution. This multiplatform system is specifically designed to provide technical assistance in real time, also allowing the incident to be identified quickly and efficiently. In order to facilitate teleworking and avoid traveling, they offer their services for free for two months. For more information, contact the startup at www.innovae.eu/contacto.
Nuavis (Donostia-San Sebastián, Gipuzkoa) – Artificial Vision / Augmented Reality
Through its remote maintenance support service system for the machine tooling sector, industries with distributed headquarters, or for SAT departments in general, the knowledge of an expert can be applied wherever necessary. Thanks to its technology, the expert can draw augmented reality marks that the worker sees in the actual environment, using a mobile phone. During this COVID-19 pandemic, while the alarm state is in effect, it offers its service completely free of charge. More information here.
CYBERSECURITY IN REMOTE POSITIONS AND CONNECTION TO COMPANIES
Barbara IoT (Madrid) – Cybersecurity and IoT
Barbara IoT, with the aim of helping the industrial sector, through its secure platform for remote management of industrial devices, facilitates teleworking for companies that need to monitor and operate OT network assets.
Thanks to a secure operating system, a design for industrial IO gateways and an intuitive management panel, companies can control their industrial devices and collect data remotely while minimizing security risks. More information in their latest blogpost.
CounterCraft (Donostia-San Sebastián, Gipuzkoa) – Cybersecurity
The cybersecurity company has prepared specific security packs to face the new cybersecurity scenarios, to which companies are exposed during the health crisis. CounterCraft proposes detection and reaction to cybersecurity incidents, as well as obtaining the necessary information and intelligence about attacks in a remote work scenario (VPN), as well as for cases of SpearPhishing and credentials theft.
CounterCraft offers its support and solutions on a voluntary basis to the health services that require it. For more information please contact CounterCraft.
OpenCloud Factory (Madrid) – Cybersecurity
The company offers a software or hardware solution that ensures remote access with double factor authentication. This solution establishes a VPN connection to the organization through an authenticated user (Active Directory LDAP). By using device profile information, the solution can apply and access the policy based on the security posture of the device. The user will only be able to access essential information and resources. More information here.
PROMOTIONS DURING THE CRISIS
3D Click (Barcelona) – Virtual and Augmented Reality
The startup of custom design, 3D prototyping and packaging validation offer their solution free of charge for the companies affected during the crisis. It will also teach webinars on digitization processes together with national packaging groups. For more information, contact the startup here.
Solid Virtual (Santurtzi, Bizkaia) – Virtual and Augmented Reality
The startup specialized in designing technological solutions has developed INNxr. The collaborative 3D prototyping platform of the future. The application allows design through a virtual collaborative and immersed space. Solid Virtual currently offers two months of free service. For more information, visit their website: solidvirtual.com.
BIND 4.0, through its community of dynamic startups, promotes new technologies and solutions to alleviate the health and economic consequences of this unprecedented situation we are all experiencing. If your startup has applicable solutions and you want to contribute to the fight against the COVID-19 pandemic, don’t hesitate to reach out to us.










